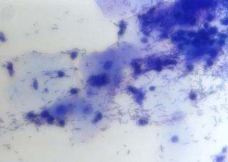
Mikroskopisches Bild bei Objektiv 40-fach mit ungenügendem Kontrast
Problem-Beschreibung Es wird das Trockenobjektiv 40-fach eingesetzt. Das mikroskopische Bild eines fixierten Ausstrichs wirkt hierbei sehr kontrastschwach. Durch Schließen der Aperturblende lässt sich keine Abhilfe erreichen.
Lösung Hochauflösende Trockenobjektive liefern in der Regel nur bei der Benutzung eines Deckgläschens mit der Dicke von 0.17 mm ein gutes mikroskopisches Bild. Diese Objektive sind also zur Untersuchung von Ausstrichen ohne Deckglas nicht geeignet. Zur Abhilfe kann man auch auf das fixierte Präparat ein Deckglas auflegen. Die Bildqualität verbessert sich dadurch erheblich. Dennoch wird man meistens zur Detailuntersuchung auf ein Immersionsobjektiv 100-fach zurückgreifen. Diese Objektive kann man, ähnlich wie das schwach auflösende Objektiv 10-fach, ohne Deckglas einsetzen.
|
||||||||||||||
|
Ähnliche Probleme treten auf bei: |
||
|
|
||
|
|
| [ Startseite Mikroskopiekurse | Startseite mikroskopie.de | Seitenanfang | Kontakt ] |
| [ Mikroskopie-Glossar ] |
|
|
© Christian Linkenheld 2001