| Euromex
Achios-X Observer: Mehr als nur ein Labormikroskop |
|
Merkmale
Das neue Labormikroskop Achios-X Observer zeichnet sich durch folgende Eigenschaften im Vergleich zu anderen und teilweise deutlich teureren Mikroskopen dieser Leistungsklasse aus:
Die Objektive mit 60mm Abgleichlänge verfügen über sehr große Arbeitsabstände. Selbst für die Trockenobjektive 40X und 60X (Arbeitsabstand jeweils 1,5mm) ist damit ein versehentliches Eintauchen in zuvor auf das Präparat aufgebrachtes Immersionsöl nahezu ausgeschlossen. Zusammen mit dem vorhandenen Vorwahlanschlag für die Höhenverstellung des Kreuztisches wird zudem einer versehentlichen Kollision zwischen Objektiv und Präparat effektiv vorgebeugt.
Der Achios-X Observer ermöglicht für jede Position des Objektivrevolvers die menügesteuerte Speicherung des verwendeten Objektivs. Auch die Beleuchtungsstärke kann hier für jede Position gespeichert werden. Diese wird dann beim Objektivwechsel erneut reproduzierbar abgerufen.
Über das Menü kann auch die Farbtemperatur der Beleuchtung kontinuierlich verändert werden. Hierdurch ist eine Anpassung an unterschiedliche Präparate und auch Sehgewohnheiten möglich. Dies vereinfacht für viele Anwender z.B. den Wechsel von einer bisher verwendeten eher rötlichen Halogenbeleuchtung zur LED-Beleuchtung des Achios-X Observers.

Daneben bietet der Achios-X Observer:
- Objektivrevolver 5-fach (wahlweise auch 6-fach)
- Okulare 10x mit Sehfeldzahl 22
- Okulare 10x mit Sehfeldzahl 25 als Option (siehe CL-Edition des Achios-X Observers*)
- Köhlersche Beleuchtung mit einer im Mikroskopfuß integrierten Leuchtfeldblende und einer lichtstarken LED 3W
- Homogene Ausleuchtung großer Objektfelder – insbesondere zusammen mit dem optionalen Klappkondensor
- Wahlweise planachromatische oder plansemiapochromatische Objektive mit Bildfeldebnung bis Sehfeldzahl 25
*Die CL-Edition des Observers ist eine spezielle Variante für Beobachtung und Dokumentation im Großfeld (Download Broschüre zur CL-Edition)
CL-Edition des Observers
CL-Edition des Observers: Achios-X Observer & MikroLive MultiFormat
Der neue Achios-X Observer von Euromex bietet die ideale Plattform für eine preiswerte Konfiguration eines Großfeld-Mikroskops. Bereits die Standardobjektive „Plan PLi“ gewährleisten bis zur Sehfeldzahl 25 ein randscharf geebnetes Bild hoher Güte. Das Sehfeld ist hierbei um gut 55% größer, als bei bei gängigen Okularen mit der Sehfeldzahl 20.
Der C-Mount-Adapter 0,63x ermöglicht zudem die optimale Ausnutzung des 1″-Sensors der Mikroskopkamera MikroLive MultiFormat. Die Diagonale des erfassten Bildes passt hierbei exakt in das durch die Okulare sichtbare Sehfeld (siehe Abbildung unten links). Durch die sehr hohe Auflösung von 20 Megapixeln der Kamera geht hierbei praktisch keine im mikroskopischen Bild enthaltene Information verloren. Der notwendige trinokulare Tubus stammt aus der Delphi-X Serie von Euromex.


Beispielbilder
Beispielaufnahmen Achios-X Observer & MikroLive MultiFormat (CL-Edition)

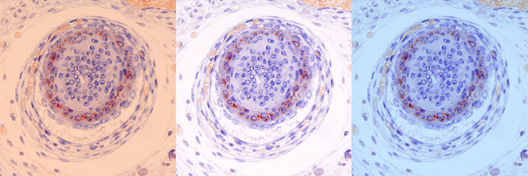
Objektiv Planachromat PLi 4x / Adapter 0,63x / MikroLive MultiFormat / Download der Originalaufnahme mit 5472 x 3648 Pixeln

Objektiv Planachromat PLi 10x / Adapter 0,63x / MikroLive MultiFormat / Download der Originalaufnahme mit 5472 x 3648 Pixeln

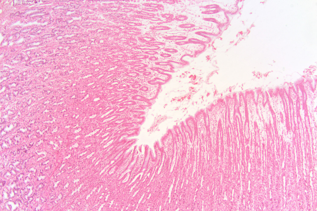
Objektiv Planachromat PLi 20x / Adapter 0,63x / MikroLive MultiFormat / Download der Originalaufnahme mit 5472 x 3648 Pixeln

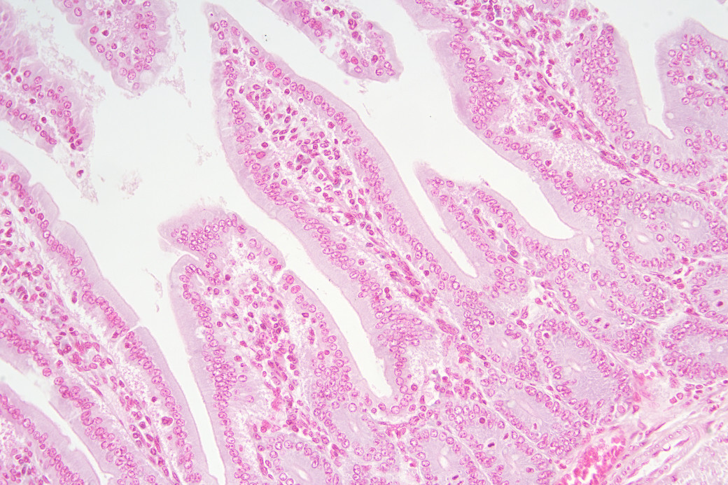
Objektiv Planachromat PLi 40x / Adapter 0,63x / MikroLive MultiFormat / Download der Originalaufnahme mit 5472 x 3648 Pixeln

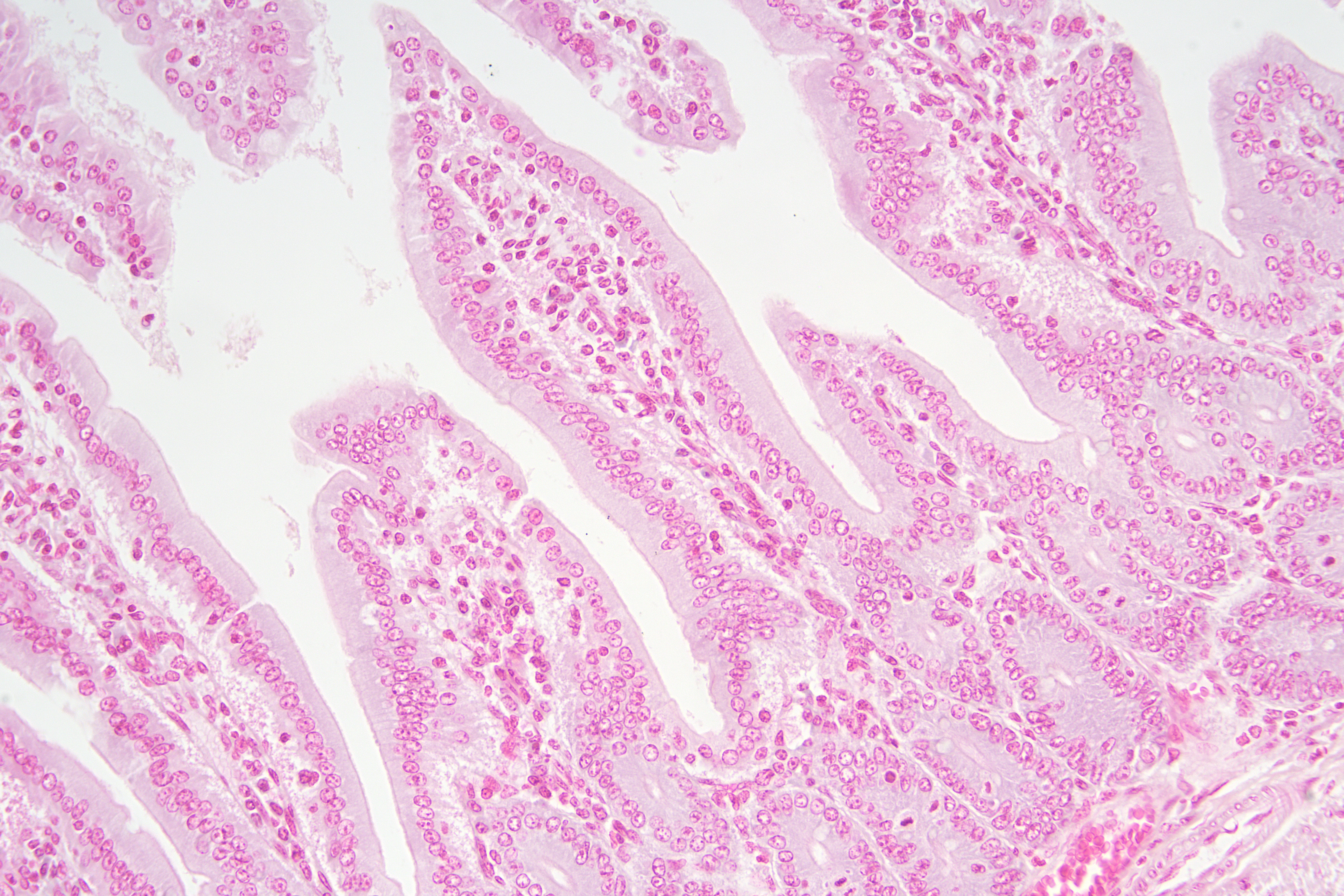
Objektiv Planachromat PLi 100x(Öl) / Adapter 0,63x / MikroLive MultiFormat / Download der Originalaufnahme mit 5472 x 3648 Pixeln
Preise & Informationsmaterial
Beispielkonfigurationen:
| AX.1153-PLi: Trinokularmikroskop Achios-X Observer mit EWF 10x/22 mm Okularen, fünffachem Objektivrevolver, planachromatischen PLi 4/10/S40/S100x(Öl)-EIS-Objektiven und 3 W LED Beleuchtung nach Köhler: |
CL-Edition Achios Observer mit MikroLive MultiFormat: Trinokularmikroskop mit Großfeldokularen SW10X/25, fünffachem Objektivrevolver, planachromatischen PLi 4/10/S40/S100x(Öl)-EIS-Objektiven und 3 W LED Beleuchtung nach Köhler, C-Mount-Adapter 0,63x, 20MP-Kamera MikroLive MultiFormat: |
|
|
| Preis incl. 19% MwSt : 2895,00 € * | Preis incl. 19% MwSt : 4995,00 € * |
* Kontaktieren Sie uns für Ihr individuelles Angebot – Die Beispielkonfigurationen stehen in unserem Vorführraum in Schifferstadt zur Verfügung und können hier nach Terminabsprache getestet werden.
Achios-X Observer auf den Seiten von Euromex
Produktdatenblatt
Broschüre zur CL-Edition des Achios-X Observers
Ihre Anfrage zum Achios X-Observer
| © 2026 Christian Linkenheld / Elisabethenstr. 16 / 67105 Schifferstadt / Telefon: 06235 4910210 | ||
| Impressum | Datenschutz | AGB || Anfahrt | Team | ||
