Das mikroskopische Bild im DIK beeindruckt durch die reliefartige Darstellung des Präparates. Diesem dreidimensionalen Bildeindruck muss aber nicht unbedingt ein tatsächliches Relief im Präparat zugrunde liegen. Der Kontrast im DIK resultiert bekanntlich aus unterschiedlichen optischen Weglängen der beiden Teilstrahlen. Diese können sich aus einer tatsächlichen Dickenzunahme einer Struktur ergeben. Bei gleicher Dicke führt jedoch auch ein ansteigender Lichtbrechungsindex zu einer Vergrößerung der optischen Weglänge.
|

|
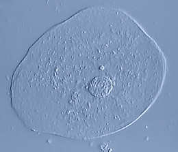
Epithelzelle im DIK
Der Zellumriss hebt sich reliefartig vom Umfeld ab. In diesem Fall stimmen dreidimensionaler Bildeindruck und tatsächliche Präparatstruktur überein. Der Zellkern und einige weitere kleine "Partikel" scheinen der Zelle aufzuliegen oder zumindest aus dieser hervorzuragen. Vermutlich wird der Zellkern jedoch in erster Linie durch seinen relativ zum umgebenden Plasma höheren Brechungsindex reliefiert dargestellt. Bei den "Partikeln" könnte es sich um Zelleinschlüsse mit ebenfalls höherem Lichtbrechungsindex handeln.
|
|
|
 |
Eine Kieselalge im Differentiellen Interferenzkontrast |
 |
| |
|
|
 |
|
 |
Die Darstellung zeigt, dass der Kontrasteindruck im DIK einer Richtungsabhängigkeit unterliegt:
Alle Strukturen, die senkrecht zur Aufspaltungsrichtung verlaufen erscheinen maximal kontrastiert. Dagegen unterbleibt bei parallel zur Aufspaltungsrichtung verlaufenden Strukturen die Kontrastierung völlig.
 |
Eine Epithelzelle im Kontrastvergleich |
 |
| |
|
|
 |
|
 |
|